La enseñanza de la esquematización en las asignaturas Biológicas

The teaching of the schematization in the Biological subjects

MSc. Nilda Guzmán Collazo.ProfesorAsistente. Universidad de Ciencias Pedagógicas Enrique José Varona.
Correo electrónico: nildagc@ucpejv. edu.cu

Recibido: octubre 2016                                Aprobado: abril 2017

RESUMEN

En el estudio de las asignaturas biológicas es importante la realización de esquemas, lo cual facilita la observación y la comprensión de las estructuras de los organismos biológicos. El desarrollo de este trabajo está relacionado con la habilidad de esquematización, en la que se pone de manifiesto la relación interdisciplinaria, al estar estrechamente relacionada con la enseñanza de la matemática ya que, basadas en las figuras geométricas y las líneas, se propone un algoritmo de trabajo que permita a los profesores enseñar a los estudiantes a  esquematizar.

Palabras clave: esquematizar, dibujo.

ABSTRACT

In the field of biological science, it is important to schematize the subjects of study, which facilitates the observation and comprehension of the structure and biological organism. In the development of this work, it is shown the relationship between the schematization and the teaching of mathematics since the use of geometrical figures and lines allows us to propose an algorithm of work that allows the professor to teach the students to schematize.

Key words: to schematize, drawing.


Introducción

El ritmo y la complejidad del desarrollo de la ciencia y la técnica en la actualidad requieren de la elevación de la calidad en la preparación de los profesionales que egresen de las universidades de ciencias pedagógicas con la finalidad de poder contribuir a la formación de las nuevas generaciones.

Son muchas las tareas que le plantea la sociedad a la educación superior; dentro de estas cabe mencionar la que se refiere a la formación y el desarrollo de habilidades profesionales en los estudiantes durante la solución de diversas tareas.

En el estudio de las asignaturas biológicas es importante la habilidad de esquematizar, ya que facilita su observación y la comprensión de los organismos y las estructuras biológicas, por lo que es necesario que tanto los estudiantes como los profesores, conozcan las operaciones que se deben seguir para su representación gráfica, de manera que contribuya a elevar el nivel de aprendizaje en los estudiantes. En este artículo se  propone un algoritmo de trabajo que permiten a los estudiantes realizar su esquematización.

Desarrollo

El problema de desarrollo de habilidades en los estudiantes ha sido objeto de estudio en gran número de investigaciones psicológicas y pedagógicas en los últimos años, sin embargo, en la asignaturas biológicas que tratan con atención la formación y el desarrollo de habilidades prácticas no se ha priorizado el desarrollo de la habilidad de esquematizar de forma independiente, la cual es de gran importancia para desempeñar la función profesional del futuro egresado de la especialidad de Biología.

Esquematizar es una habilidad práctica en la que se realiza un dibujo donde se representan los detalles esenciales de los organismos y sus estructuras.

En el pensamiento de los educadores de Biología, la esquematización debe ocupar un lugar jerárquico, de manera que contribuya a la formación integral del estudiante, de ahí que el dominio de la habilidad de esquematizar, por parte del profesor, es un recurso muy valioso, ya que permite desarrollar la observación, la memoria visual y la imaginación creadora en los estudiantes.

La representación de organismos y estructuras biológicas mediante el esquema no solo interviene en el proceso instructivo, sino que también es un elemento poderoso en el trabajo educativo,  pues permite desarrollar en los estudiantes la observación de las proporciones y las distancias; además, contribuye a la formación de sentimientos estéticos, tan importantes en la formación de la personalidad.

La esquematización en las asignaturas biológicas, tanto en la enseñanza general media como en la educación superior, tiene una gran incidencia en su aprendizaje, por lo que es un tema de actualidad que, aunque su enseñanza presenta dificultades, es posible su solución.

Para Stresikosin V. P, "el éxito de actividades independientes en toda clase, depende en gran medida de la preparación de los alumnos para estas tareas, es decir, de la existencia de los conocimientos necesarios y de la aplicación de métodos racionales de trabajo”, lo cual vale en el dibujo. Para este autor, "el valor cognoscitivo del dibujo, sin embargo, sólo existe en grado suficiente, cuando los alumnos se expresan a través de él de forma independiente. La simple copia de ilustraciones del libro de texto es una actividad puramente mecánica, incapaz de ampliar los conocimientos y de desarrollar la personalidad de los alumnos" (1).

Con frecuencia, el profesor no se encuentra en condiciones de esquematizar y argumenta que no tiene aptitudes; sin embargo, no es aptitud lo que requiere el profesor, ya que no se trata de la representación gráfica de un artista, sino que se necesita conocer qué es un esquema, así como los elementos necesarios para desarrollar la habilidad.

Existe una tendencia de los profesores a identificar el esquema con el dibujo, sin tener en cuenta que es un dibujo con características propias, en el cual se representan los detalles esenciales propuestos en la observación de los organismos y las estructuras biológicas.

Tomás de Galiano Mingot define el esquema como " el dibujo en el cual solamente figuran los detalles más importantes esenciales de los que representa"(2).

La esquematización contribuye a desarrollar la habilidad de observar, al dirigir la atención sobre detalles del objeto biológico, que pasan inadvertidos al observador cuando no tiene que representarlos gráficamente, influye favorablemente en el desarrollo de las asignaturas, al motivar a los estudiantes por los contenidos tratados y, además, permite la percepción visual y el desarrollo de los procesos mentales con la finalidad de lograr una imagen creadora.

El propósito que debe perseguir el estudiante al esquematizar los objetos biológicos no es su representación artística, sino su reproducción detallada, lo más cercana a la realidad observada, que muestre, de forma clara, su estructura y su apariencia.

Con frecuencia se encuentran personas que no tienen aptitudes para dibujar y no pueden hacerlo, lo cual no excluye que puedan ser enseñados y que lleguen a esquematizar los objetos observados.

Una de las dificultades que se presentan en la esquematización es la tendencia a representar lo que se conoce sobre el objeto y no lo que realmente se observa, sin tener en cuenta que lo que debe representarse en el esquema son los detalles que se observan, independientemente de los conocimientos que sobre él se posea.

Teniendo en cuenta lo anteriormente expuesto para desarrollar la esquematización, no solo se necesita de la habilidad al realizar el trazo, sino que lo primero que se debe aprender es a observar los detalles del objeto biológico.

Para esquematizar en las asignaturas biológicas, las líneas y las figuras geométricas constituyen un elemento fundamental a tomar en consideración, si se tiene en cuenta que su origen es el resultado de un largo proceso de abstracción realizado por el hombre sobre los objetos que se encuentran en el medio que le rodea. El conocimiento de las figuras geométricas debe considerarse como un elemento importante y punto de partida para el desarrollo de la habilidad de esquematizar.

La identificación del material biológico que se quiere representar con las figuras geométricas no se comporta siempre de igual manera, ya que depende de las percepciones sensoriales y de la representación mental del observador.

En la esquematización se establece la relación interdisciplinaria de la Biología con la asignatura de la Matemática, auxiliándose los estudiantes de líneas y figuras geométricas para elaborar  el esquema de lo observado.

En el séptimo grado de la educación general media, la asignatura de Matemática incluye la unidad de Geometría, en la que se enseña al estudiante a esbozar las figuras geométricas a mano alzada o con una regla, basándose en sus propiedades.

A partir del momento en que se explica esta unidad, están creadas las condiciones para iniciar el desarrollo de la habilidad. El profesor de Biología de este grado, apoyándose en estos contenidos, puede enseñar las operaciones para realizar la esquematización, primero de los objetos macroscópicos, y después de los microscópicos. En este último caso, es necesario una observación más detallada, al tener su estructura un mayor grado de complejidad y, por consiguiente, su esquematización.

El aprendizaje de la esquematización es importante para el profesor, que no siempre cuenta con el material biológico necesario en sus clases, por lo que es imprescindible recurrir al esquema, logra que el conocimiento que explica sea accesible, así como una mayor atención por parte de los estudiantes, que facilite una mejor comprensión durante el proceso de enseñanza-aprendizaje.

Antes de exponer el algoritmo que permite esquematizar, a los profesores y estudiantes, es necesario tener en cuenta algunos aspectos que permitan desarrollar esta habilidad.

Es importante, cuando el profesor enseña a esquematizar, no exigir al estudiante la representación perfecta del objeto observado, sino que debe acercarse lo más posible a la realidad, que no esté basada en el conocimiento que se tiene del objeto, sino en lo que se observa, representa primero, el contorno general y, después, los detalles a mano alzada.

El estudiante debe disponer de lápiz y goma de borrar, con la finalidad de suprimir las líneas de las que se auxilió al realizar el esquema. Además, el esquema debe hacerse lo suficientemente grande, de manera que haya el espacio  necesario para representar los detalles, y que permita corregir los errores, al tener un tamaño observable.

Un aspecto que se debe considerar mientras se esquematiza, es la observación constante del objeto, con la finalidad de determinar sus detalles; para ello, se tendrán en cuenta las proporciones y las distancias que existen entre los diferentes elementos que lo componen.

A continuación, se expone un algoritmo para esquematizar, con operaciones sencillas, comprensibles y precisas, el cual está subdividido en dos partes: uno, para el material biológico macroscópico o microscópico, que se identifique con figuras geométricas, y otro, para los que se identifiquen inicialmente con líneas, como son los tejidos. Además, están acompañados de figuras del material biológico y de los pasos, que sirven de guía para realizar la esquematización. Los ejemplos que se utilizan para ilustrar los pasos de la esquematización son organismos y estructuras botánicas.

Algoritmo para la esquematización de las estructuras biológicas y organismos

A.- Para material biológico que se identifiquen  inicialmente con figuras geométricas

Fig. 1. Musgo.

Fig. 2. Cono masculino de Pinus sp.  Corte longitudinal (9x) (Tomado de Bracegirdle y Miles)

B.- Para material biológico microscópico que se identifiquen inicialmente con líneas. 

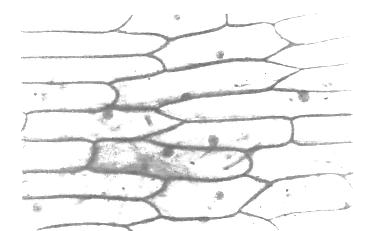
Nueva imagen (9a)
Figura 3. Epidermis de catáfilo de cebolla. (Allium sp.). Vista superficial (300x)
(Tomado de González)

Paso 1-Trazo de línea
Paso 5-Esquema final
Paso 2-Delimitación de las células
Paso 3-Trazo del núcleo
Paso 4-Línea que debe borrarse

4
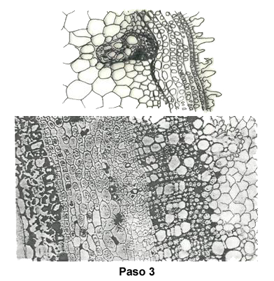
 Fig.4. Tallo de Coleus sp. (manto) Corte transversal (80x)
(Tomado de González)

Fig. 5. Tallo de Sambucus sp. Corte transversal (80x)
(Tomado de González)

Fig. 5. Tallo de Sambucus sp. Corte transversal (80x)
(Tomado de González)

  1. Añada al esquema, en dependencia de los objetivos de la observación, las indicaciones o los señalamientos mediante líneas rectas, en cuyos extremos se escriban los detalles con letra de molde, dispuestos en forma paralela, uno debajo del otro.
  2. Escriba el pie de grabado en el que se identifique, con letra de molde, el objeto, colocan a continuación entre paréntesis, el aumento utilizado el microscopio.

Es importante que, al iniciar el desarrollo de la habilidad de esquematización, el estudiante no obvie ninguno de los pasos expuestos. Una vez que esquematice lo más cercano posible a la realidad, de manera que haya alcanzado cierto grado de desarrollo en esta habilidad, entonces, si lo prefiere, puede obviar algunos de los pasos, excluye la identificación y la representación del objeto observado con una figura geométrica, en el caso de los objetos que se identifiquen con ella, ya que constituye una guía para realizar el esquema.

En la esquematización de objetos microscópicos, una vez desarrollada esta habilidad y según el criterio del profesor, puede o no trazarse el campo de observación del microscopio con un círculo, aunque es recomendable que cuando el estudiante se inicie en el desarrollo de esta habilidad, lo haga, ya que delimita el espacio en el que se van a realizar los trazos.

Conclusiones

La esquematización es una habilidad que contribuye al desarrollo de la  observación, lo que es importante, ya que les permite dirigir la atención sobre los detalles del material biológico, así como una mejor comprensión de estos.

Con el dominio del algoritmo de la esquematización, con operaciones sencillas, comprensibles y precisas, el estudiante está en mejores condiciones de desarrollar esta habilidad.

En el desarrollo de la esquematización se pone de manifiesto la relación interdisciplinaria con la asignatura Matemática en particular con la Geometría.

Referencia bibliográfica

 

Bibliografía